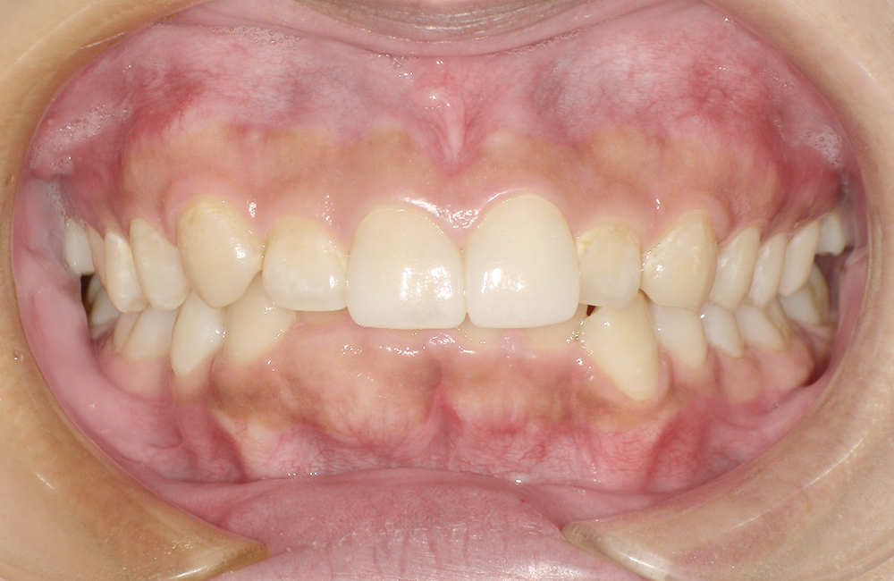
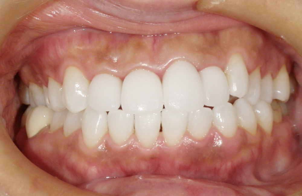
数回の来院で、歯並びを改善
1本5万円+税~
「歯並び」と「白さ」
同時に叶えるセラミック矯正
短期間で歯並びや歯の形・色を整えてみませんか?
歯並びを整えるための一般的な方法として「歯列矯正」があります。一方、歯の形や色を整える方法には「セラミック治療」が知られています。当院では、この二つを組み合わせた「セラミック矯正」をご提供しています。この治療では、セラミックの被せ物を使用することで、歯の形や色だけでなく、歯並びも整えることが可能です。
セラミック矯正と通常の矯正治療の違いについて、多くの患者さんからお問い合わせをいただくため、以下に簡潔にまとめました。詳細は表をご覧ください。
歯列矯正とセラミック治療の比較
| 治療期間 | 治療法 | その他 |
|---|
矯正治療 | 1年半~2年 | 矯正装置 | ・抜歯が必要な場合がある ・歯並びの後戻りのリスクがある |
セラミック矯正 | 1回~3回 | セラミックの被せ物 | ・抜歯は不要 ・歯の色/形の調整も可能 ・歯を削る必要がる |
セラミック矯正の大きな利点として、短期間で理想的な歯を手に入れることが挙げられます。しかし、その際に「
健康な歯を削る」必要があります。セラミックの被せ物を適用するためには、どうしても天然の歯を削らなくてはなりません。
健康な歯を削ることに抵抗を感じる方には、セラミック矯正は適していないかもしれません。そのような方には、通常の矯正治療をおすすめいたします。詳しくは
矯正治療のページをご覧ください。
どのような方がセラミック矯正に向いているのでしょうか?
以下のようなご希望をお持ちの患者さんには、矯正治療ではなくセラミック矯正をおすすめしています。
- – 「短期間」で歯並びを整えたい方
- – 「特定の部位のみ」を集中して治療したい方
- – 矯正装置の使用が「面倒」と感じられる方
- – 歯並びだけでなく、歯の「色」や「形」も合わせて改善したい方
- – 矯正治療による「痛み」が続くことを避けたい方
優れた歯科技工士との協力体制
セラミックをはじめとする被せ物は、歯科医師が直接製作するものではありません。
これらは、専門の職人である「歯科技工士」が、一つひとつ丁寧に手作業で仕上げています。
当院では、美しさと精密さを追求する日本トップクラスの歯科技工士に、被せ物の製作を依頼。
自然な色合いや形状、そして噛み合わせに至るまで細部にこだわり、患者さんの顔立ちや笑顔に調和した美しい仕上がりを目指しています。
歯科医師と歯科技工士がチーム一丸となって治療にあたることで、見た目だけでなく機能面でも質の高いケアを提供しています。
初診「個別」相談へのご案内
当院では、患者さんが抱えていらっしゃるお口のお悩みや疑問・不安などにお応えする機会を設けております。どんなことでも構いませんので、私たちにお話ししていただけたらと思います。
ご興味がある方は下記からお問い合わせください。

〒869-1101
熊本県菊池郡菊陽町津久礼2420-11